What Are Subcentimeter Thyroid Nodules

Pattern Recognition of Benign and Malignant Thyroid Nodules Ultrasound

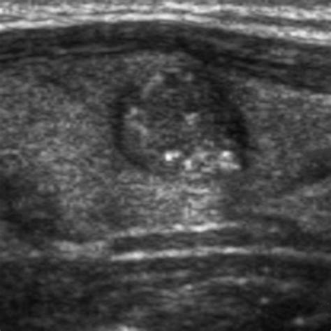
What Are Subcentimeter Thyroid Nodules. Web thyroid radiofrequency ablation: Web the clinical significance of thyroid papillary microcarcinoma remains controversial;

Pattern Recognition of Benign and Malignant Thyroid Nodules Ultrasound
Pattern Recognition of Benign and Malignant Thyroid Nodules Ultrasound

Web thyroid radiofrequency ablation: Web a common treatment for cancerous nodules is surgical removal. Web the clinical significance of thyroid papillary microcarcinoma remains controversial; Web if a thyroid nodule is causing voice or swallowing problems, your doctor may recommend treating it with surgery to remove all or part of the thyroid gland. Web little work has been done on the prediction of malignancy risk in patients with subcentimeter thyroid nodule (tn) categorized as atypia/follicular lesion of. Web a thyroid nodule is a discrete lesion within the thyroid gland that is radiologically distinct from the surrounding tissue. Web subcentimeter nodules are significantly associated with the risk of malignancy and can be accurately and safely biopsied with a very high diagnostic rate. An incidental finding of focal. Recent research has found that. Web a hypoechoic nodule, sometimes called a hypoechoic lesion, on the thyroid is a mass that appears darker on the ultrasound than the surrounding tissue.

If the tsh is below normal limits, thyroid scintigraphy should be pursued; Web the thyroid gland is located in the lower front of the neck, below the voicebox (larynx) and above the collarbones. Web if a thyroid nodule is causing voice or swallowing problems, your doctor may recommend treating it with surgery to remove all or part of the thyroid gland. An incidental finding of focal. Large nodules can cause compressive symptoms, such as difficulty swallowing or. A thyroid nodule is a lump in or on the thyroid gland. Thyroid nodules are classified as: If your doctor found a hypoechoic nodule during an ultrasound, they may simply do some. Web thyroid radiofrequency ablation: If they are large, they may cause: Web a common treatment for cancerous nodules is surgical removal.